Loading...

STEM CELL TREATMENT


STEM CELL TREATMENT

CURE 항노화 고혈압, 고지혈 당뇨병 심장병 폐질환 알츠하이머 관절병 신장 질환 파킨슨 간질환 동맥경화 신경질환 흉터,상처 재생 뇌질환 자기면역 질환 유전질환 발기부전 불임 피부질환


항노화 솔루션

MIREAE BIO MEDICINE

미래바이오메디신

MIREAE BIO MEDICINE


전세계 줄기세포 전문의사, 연구원, 정부기관 등과 함께
줄기세포 임상 데이터 구축

임상 1,000여개 보유
21회 줄기세포 전문 학회 개최

출처: 서울대,하버드,존스홉킨스 등등…
출처: ISSCA,Harvard Stem Cell Institute, MIT, Jhons Hopkins Medicine, Cleveland Clinic, 서울대학교병원



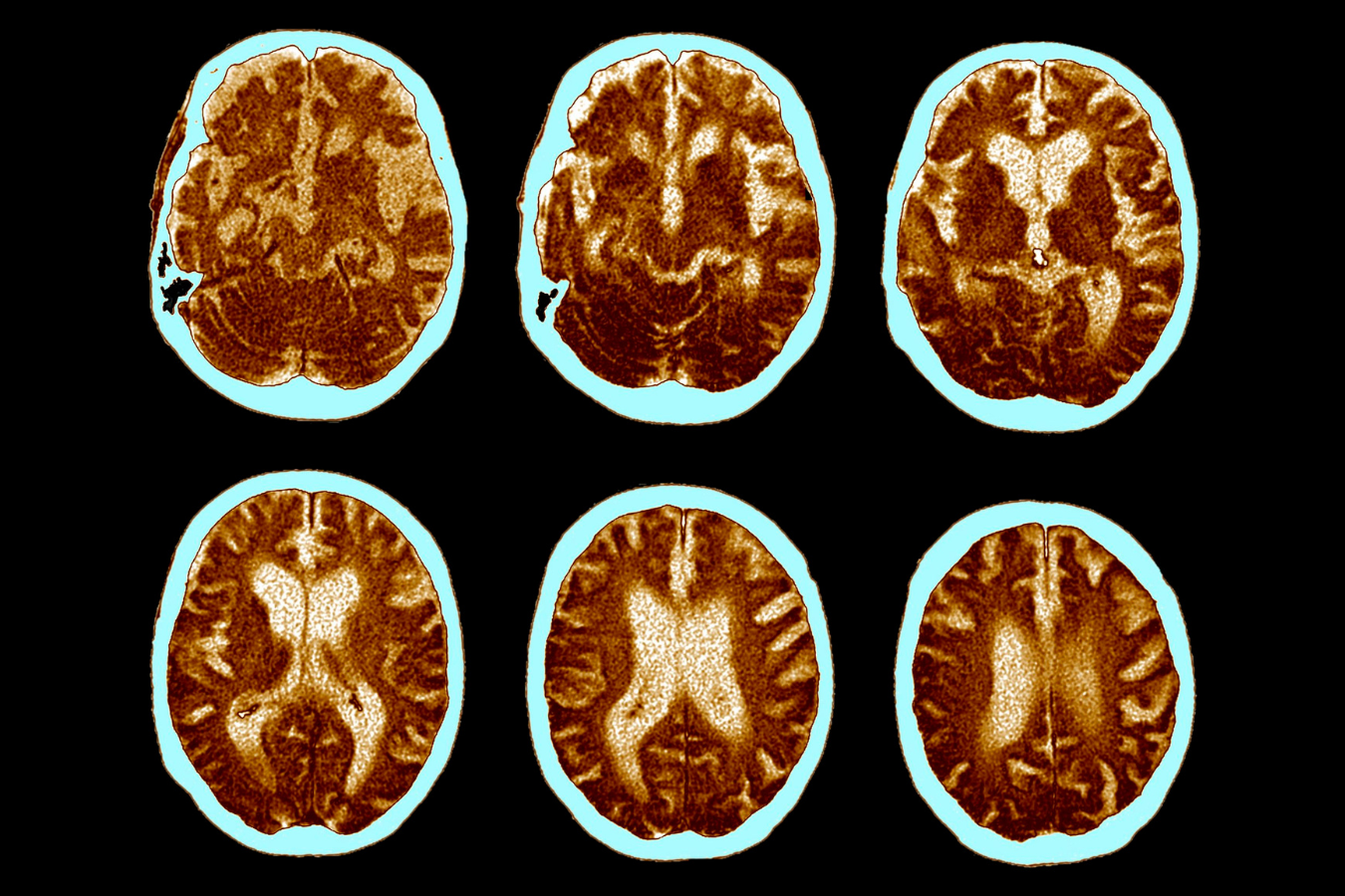
알츠하이머


치매, 알츠하이머병에 대한 줄기세포 치료

관련 질환: 알츠하이머병, 치매, 파킨슨병, 루이체 치매, 신경퇴행성 질환, 혈관성 치매, 헌팅턴병, 다발성 경화증, 프래더-윌리 증후군, 신경섬유종증, 프래자일 X 증후군, 다운 증후군, 뇌졸중, 기억력 장애, 인지 기능 저하, 언어 장애, 우울증, 불안 장애, 사회적 고립, 수면 장애.

줄기세포의 효능: 줄기세포는 다양한 세포로 분화할 수 있는 능력이 있으며, 손상된 조직을 재생하고 염증을 줄이며, 신경세포의 생존과 기능을 향상시킬 수 있습니다. 특히 신경계 질환에서 줄기세포의 역할은 손상된 신경세포를 복구하고 새로운 신경세포를 생성하는 데 중요한 역할을 합니다.

알츠하이머병에 적용한 줄기세포 치료의 매커니즘: 줄기세포는 손상된 뇌의 신경세포를 재생시키고, 염증을 줄이며, 신경계의 기능을 회복시키는 데 도움을 줍니다. 또한, 줄기세포는 뇌 내의 베타-아밀로이드 플라크와 타우 단백질의 축적을 줄이는 데 기여하여 신경세포의 손상을 방지합니다.

줄기세포 치료
항노화 솔루션

알츠하이머병의 위험

알츠하이머병과 관련된 질병들과 그에 따른 위험성: 알츠하이머병은 주로 노인에서 발생하며, 기억력 상실, 인지 기능 저하, 행동 변화 등을 초래합니다. 이는 환자의 일상 생활에 큰 영향을 미치며, 중증도가 높아지면 완전한 의존 상태에 이를 수 있습니다

알츠하이머병으로 발생하는 각종 합병증

  1. 인지 기능 저하 기억력, 판단력, 언어 능력 등의 전반적인 인지 기능이 저하됩니다.
  2. 행동 및 성격 변화 불안, 우울, 공격성 등의 행동 변화가 나타날 수 있습니다
  3. 일상 생활 능력 상실 자립적인 생활이 어려워지고, 일상적인 활동에 도움을 필요로 합니다.
  4. 신체적 건강 악화 식사 및 운동 부족으로 인해 전반적인 신체 건강이 악화됩니다.
노화 증상

알츠하이머병으로 발생하는 각종 합병증

인지 기능 저하 기억력, 판단력, 언어 능력 등의 전반적인 인지 기능이 저하됩니다.
행동 및 성격 변화 불안, 우울, 공격성 등의 행동 변화가 나타날 수 있습니다.
일상 생활 능력 상실 자립적인 생활이 어려워지고, 일상적인 활동에 도움을 필요로 합니다.
신체적 건강 악화 식사 및 운동 부족으로 인해 전반적인 신체 건강이 악화됩니다
기억력 상실 최근의 사건이나 대화를 기억하지 못함 / 중요한 날짜나 이벤트를 잊어버림
인지 기능 저하 문제 해결 능력과 계획 능력의 저하/ 일상적인 작업 수행이 어려워짐
언어 능력 저하 단어 선택의 어려움 / 대화 중 반복적인 질문이나 혼란
시공간 인식 장애 시간과 장소에 대한 혼란 / 길 찾기 어려움
행동 및 성격 변화 불안, 우울, 공격성 등의 변화 / 사회적 활동 회피

작용 방식

줄기세포 치료는 알츠하이머병의 근본적인 문제를 해결하는 데 중점을 둡니다. 줄기세포는 손상된 신경세포를 재생시키고, 새로운 신경세포로 분화하여 뇌 기능을 회복시킵니다. 또한, 줄기세포는 항염증 작용을 통해 뇌 조직의 염증을 줄이고, 베타-아밀로이드 플라크와 타우 단백질의 축적을 감소시킵니다

기대 효과

줄기세포 치료를 통해 알츠하이머병 환자들은 기억력과 인지 기능이 개선될 수 있습니다. 행동 및 성격 변화가 완화되고, 일상 생활 능력이 향상됩니다. 뇌의 신경세포가 재생됨에 따라 전반적인 뇌 기능이 회복되고, 질병의 진행 속도가 늦춰질 수 있습니다. 이를 통해 환자들은 더 오래 독립적인 생활을 유지할 수 있으며, 삶의 질이 크게 향상됩니다.

결론

줄기세포 치료를 통해 알츠하이머병의 진행을 효과적으로 늦출 수 있으며, 이는 환자들이 더 나은 인지 기능과 기억력을 유지하고, 일상 생활에서의 독립성을 증가시키는 결과를 가져올 수 있습니다. 신경세포 재생과 염증 감소로 인해 전반적인 뇌 건강이 향상되며, 알츠하이머병으로 인한 부담이 줄어들게 됩니다. 이를 통해 환자들은 더 활동적이고 건강한 생활을 영위할 수 있으며, 장기적으로는 알츠하이머병의 증상을 획기적으로 완화할 수 있는 가능성이 높아집니다

결론 이미지


FDA / KFDA / JFDA / CE

이미지1

42년 줄기세포 기술력
23년 건강검진 병원

더보기

서울대병원 공식 세포 검증 완료

이미지2

Whatsapp

QR 코드 1

We chat

QR 코드 2
문의하기